خطرة
أرشيف الوسم : خطرة
اكتشاف خلايا غامضة خطرة في جسم الإنسان
منبر - وكالات:
اكتشف علماء من الولايات المتحدة خلايا غامضة خطرة في جسم الإنسان، قادرة على العمل كنوعين من الخلايا يمكن أن تسبب النوع الأول من السكري .
ويفيد موقع Live Science، بأنه وفقا ..
التفاصيل
وصلة دائمة لهذا المحتوى : https://www.mnbr.news/158523.html
تناول الحمضيات يحمي من مضاعفات خطرة
منبر - التحرير :
اوضح علماء من جامعة سان باولو البرازيلية إن تناول الحمضيات يحمي من مضاعفات خطرة ناتجة عن السمنة، باعتبارها تحتوي على مركبات فلافونويد التي تمنع تلف الخلايا بسبب السمنة.
وخلال التجارب التي ..
التفاصيل
وصلة دائمة لهذا المحتوى : https://www.mnbr.news/130263.html
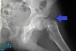
مجموعة عوامل خطرة ترفع أحتمالات كسر الفخذ
منبر - التحرير :
من الممكن أن يكون التعرض لكسر عظمة الفخذ أمرا مهما وذا تأثيرات صحية خطيرة، ومَن يصابوا بكسر عظمة الفخذ هم عرضة بنسبة 18 في المائة للوفاة خلال عام من حصول ..
التفاصيل
وصلة دائمة لهذا المحتوى : https://www.mnbr.news/116105.html
هيئة البيئة تضبط مخالفات خطرة على الساحل البحري بجدة
منبر - التحرير :
حررت فرق التفتيش التابعة للهيئة العامة للأرصاد و حماية البيئة بمنطقة مكة المكرمة ستة محاضر ضبط لمخالفات بيئية خلال زيارتها لأكثر من 10 مراسي على الساحل البحري بمحافظة جدة, وذلك ..
التفاصيل
وصلة دائمة لهذا المحتوى : https://www.mnbr.news/106525.html
تسرب مواد خطرة داخل أحد المصانع بمدينة الجبيل
منبر - التحرير
تباشر الجهات المختصة بمدينة الجبيل الصناعية، اليوم الجمعة، تسربًا لمواد خطرة ناتجة من أحد مصانع البتروكيماويات.
ويعمل كل من فرق الدفاع المدني ومختصين في المصنع، على الحد من تأثير التسرب وحصره ..
التفاصيل
وصلة دائمة لهذا المحتوى : https://www.mnbr.news/106249.html
قتيل وجريحان إصابتهما خطرة في هجوم بسكين قرب باريس
منبر - واس :
أقدم رجل يحمل سكينًا على قتل شخص وجرح اثنين آخرين إصابتهما خطرة اليوم الخميس، في مدينة تراب بضاحية باريس قبل أن تقوم قوات الامن "بتحييده" كما قال مصدر في الشرطة.
وأضاف ..
التفاصيل
وصلة دائمة لهذا المحتوى : https://www.mnbr.news/97457.html


