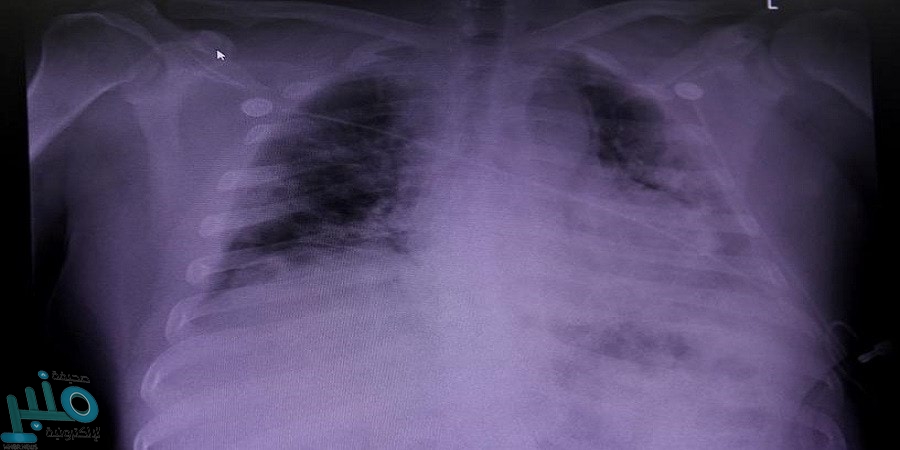
طور باحثون من جامعة نورث وسترن (NU) الأمريكية، منصة إلكترونية باستخدام برنامج الذكاء الاصطناعي ”التعلم العميق“، أطلقوا عليها اسم ”DeepCovid-XR“، بحيث يمكنها الكشف عن فيروس كورونا، من خلال تحليل صور الأشعة السينية للرئتين لدى المرضى، وذلك أكثر دقة وسرعة من الأطباء.
ووفقا لموقع ”The Express Tribune“ الإخباري، أثبتت التجارب أن خوارزمية التعلم الآلي تفوقت على فريق أخصائي الأشعة القطعية للصدر، عن طريق رصدها لفيروس كورونا المستجد في صور الأشعة السينية للصدر، وذلك أسرع بنحو 10 مرات، وأكثر دقة بنسبة 1-6% من الأطباء.
واستخدم الباحثون 17002 صورة أشعة سينية للصدر، لتطوير وتدريب واختبار الخوارزمية الجديدة، ومن بين تلك الصور، جاء 5445 من المرضى المصابين إيجابيا بفيروس كورونا.
وقارن الباحثون أداء المنصة مع أداء خمسة من أخصائيي أشعة وأمراض القلب والصدر، في تحليل 300 صورة عشوائية لمرضى من مستشفى ليك فورست الأمريكي.
واستغرق كل أخصائي أشعة ما يقرب من ساعتين ونصف إلى ثلاث ساعات ونصف الساعة لفحص هذه المجموعة من الصور، بينما استغرق نظام الذكاء الاصطناعي حوالي 18 دقيقة فقط.
وتراوحت دقة أخصائي الأشعة بين 76-81%، في حين كان أداء منصة ”DeepCovidD-XR“ أفضل قليلا بدقة بلغت 82%.
وقال أجيلوس كاتساجيلوس، خبير الذكاء الاصطناعي، وكبير مؤلفي الدراسة إن ”الأشعة السينية غير مكلفة، وهي بالفعل عنصر شائع في الرعاية الروتينية، حيث يمكن لمنصة الذكاء الاصطناعي أن توفر المال والوقت، لأن التوقيت بالغ الأهمية عند التعامل مع فيروس كورونا لدى المرضى.
ولا تزال منصة ”DeepCovid-XR“ في مرحلة التطوير، ولكن يحتمل استخدامها في التجارب السريرية البشرية قريبا.



