دماغ الشباب
أرشيف الوسم : دماغ الشباب
دراسة: الطفولة السيئة تؤثر على دماغ الشباب
وكالات :
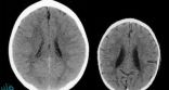
أجرى البروفيسور بروس بيري من مستشفى تكساس للأطفال فحصا ومسحا لدماغي طفلين من نفس العمر، لمعرفة كيف يمكن لطفولة سيئة أن تؤثر على دماغ الشباب.
ووفق ما ذكرته صحيفة "ديلي ميل" ..
التفاصيل
وصلة دائمة لهذا المحتوى : https://www.mnbr.news/50866.html


